REVIEW
HDVR 2025, 36(4): 211-215
Trichophyton Mentagrophytes genotype VII: An emerging sexually transmitted fungus
Roxani Kapranou1, Alexander Stratigos2, Electra Nicolaidou2
1General Hospital of Athens “G. Gennimatas”, Department of Plastic Surgery, Microsurgery, Burns and Melanoma Referral Center
21st Department of Dermatology and Venerology, National and Kapodistrian University of Athens, Medical School, “Andreas Syggros” Hospital
ABSTRACT
In recent years, there has been growing interest in dermatophyte infections, since emerging data suggest that transmission during sexual contact may also occur. The recently identified Trichophyton Mentagrophytes genotype VII (TMVII) has been associated with multiple cases of sexually transmitted dermatophytosis across several European countries. The aim of this review is to collect and analyze the available data regarding patients with TMVII infection, focusing on demographic characteristics, clinical presentation and therapeutic management. Furthermore, this review seeks to contribute to a better understanding of the infection, leading to early diagnosis and effective treatment in the future.
ΠΕΡΙΛΗΨΗ
Τα τελευταία έτη τα δερματόφυτα έχουν απασχολήσει την ειδικότητα της αφροδισιολογίας καθώς έχουν καταγραφεί δερματοφυτικές λοιμώξεις που αποδίδονται σε μετάδοση μέσω της σεξουαλικής επαφής. Ιδιαίτερα το πρόσφατα αναγνωρισμένο Trichophyton Mentagrophytes genotype VII (TMVII) έχει συσχετιστεί με πολλαπλά περιστατικά δερματοφυτίας με πιθανή μετάδοση μέσω της σεξουαλικής επαφής σε διάφορες ευρωπαϊκές χώρες. Σκοπός της παρούσας ανασκόπησης είναι η συλλογή και ανάλυση των διαθέσιμων δεδομένων που αφορούν τους ασθενείς με λοίμωξη από TMVII, με έμφαση στα δημογραφικά χαρακτηριστικά, την κλινική εικόνα και την θεραπευτική αντιμετώπιση. Η ανασκόπηση στοχεύει στη βαθύτερη κατανόηση της λοίμωξης, ώστε να διευκολυνθεί στο μέλλον η έγκαιρη διάγνωση και αποτελεσματική αντιμετώπιση των ασθενών.
Keywords: Sexually Transmitted Diseases (STD), tinea genitalis, Trichophyton Mentagrophytes genotype VII (TMVII)
Corresponding author: Ρωξάνη Καπράνου, rkapranou@gmail.com
ΕΙΣΑΓΩΓΗ
Τα δερματόφυτα αποτελούν είδος μυκήτων που προσβάλλουν κερατινοποιημένους ιστούς σε ανθρώπους και ζώα (δέρμα, τρίχες, νύχια). Τα δερματόφυτα που αφορούν τον άνθρωπο χωρίζονται σε τρία γένη: Trichophyton spp., Epidermophyton spp., και Microsporum spp. Με βάση το φυσικό τους περιβάλλον διακρίνονται σε ανθρωπόφιλα, ζωόφιλα και γεώφιλα1. Τα τελευταία έτη με την εφαρμογή της μοριακής ανάλυσης των αλληλουχιών του Internal Transcribed Spacer (ITS), δηλαδή των αλληλουχιών του ριβοσωμιακού DNA των δερματοφύτων που δεν κωδικοποιούν πρωτεΐνες) ταξινομούνται περαιτέρω σε γενότυπους2.
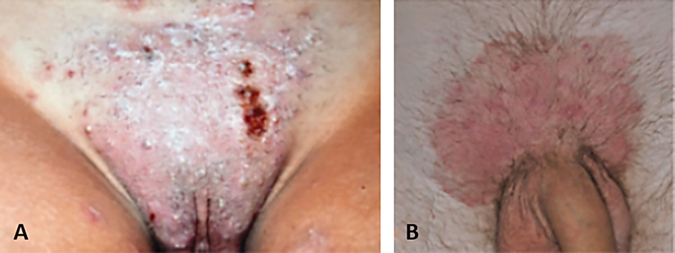
Οι δερματοφυτικές λοιμώξεις έχουν απασχολήσει και την αφροδισιολογία την τελευταία δεκαετία, καθώς έχουν καταγραφεί περιστατικά δερματοφυτίας της γεννητικής χώρας και του εφηβαίου (tinea genitalis) με πιθανή μετάδοση κατά τη σεξουαλική επαφή. Μεταξύ των ετών 2015 – 2017 δημοσιεύτηκαν κάποια περιστατικά από συγγραφείς στην Ελβετία και τη Γερμανία τα οποία αφορούσαν ασθενείς με εκτεταμένες εκδηλώσεις tinea genitalis στους οποίους απομονώθηκε μέσω καλλιέργειας το παραδοσιακά ζωόφιλο δερματόφυτο Trichophyton Mentagrophytes (T. Mentagrophytes) (Εικόνα 1). Το αξιοσημείωτο σε αυτά τα περιστατικά είναι ότι ανέφεραν πρόσφατο ταξίδι στην νοτιοανατολική Ασία όπου είχαν πραγματοποιηθεί σεξουαλικές επαφές, ενώ παράλληλα δεν ανέφεραν επαφές με οικόσιτα ζώα που είναι ο συνήθης τρόπος μετάδοσης του συγκεκριμένου δερματόφυτου3,4.
ΕΙΚOΝΑ 1. Ασθενείς με εικόνα κοκκιώματος Majocchi (A) και εκτεταμένης δερματοφυτίας εφηβαίου (B) μετά από πρόσφατο ταξίδι στη νοτιοανατολική Ασία.
Λίγο αργότερα, το 2019, με την εφαρμογή της μοριακής ανάλυσης του ITS, πραγματοποιήθηκε ο επίσημος χαρακτηρισμός του νέου αυτού υποτύπου με πιθανή μετάδοση κατά την σεξουαλική επαφή ως Trichophyton Mentagrophytes Genotype VII (TMVII)5.
Έκτοτε έχουν καταγραφεί περιστατικά σε αρκετές ευρωπαϊκές χώρες, με τη πλειοψηφία να αφορά διαγνώσεις σε κέντρα της Γερμανίας και της Γαλλίας, ενώ πριν από ένα έτος περίπου ανακοινώθηκαν και τα πρώτα περιστατικά στις Η.Π.Α. (Πίνακας 1).
ΣΚΟΠΟΣ
Σκοπός της παρούσας ανασκόπησης της βιβλιογραφίας είναι η συλλογή και η ανάλυση των πρόσφατων δεδομένων με στόχο την καλύτερη κατανόηση της κλινικής εικόνας, του τρόπου μετάδοσης και της θεραπευτικής αντιμετώπισης της λοίμωξης από το TMVII.
ΜΕΘΟΔΟΙ
Πραγματοποιήθηκε αναζήτηση στη βάση δεδομένων PubMed/MEDLINE για τη βιβλιογραφία σχετικά με τη λοίμωξη από το TMVII. Η αναζήτηση ανέδειξε πέντε αναδρομικές μελέτες5,6,7,8,9 και πέντε case series10,11,12 ή case reports13,14 τα οποία δημοσιεύτηκαν στο διάστημα 2019 – 2025.
ΑΠΟΤΕΛΕΣΜΑΤΑ / ΣΥΖΗΤΗΣΗ
Από την αναζήτηση της βιβλιογραφίας προκύπτουν 166 καταγεγραμμένα περιστατικά με λοίμωξη από TMVII.
Δημογραφικά χαρακτηριστικά
Παρατηρείται σαφής υπεροχή του ανδρικού φύλου στην επίπτωση της λοίμωξης από TMVII, καθώς το 90% των ασθενών ήταν άνδρες. Η μέση ηλικία των ασθενών ήταν τα 34 έτη με εύρος ηλικιών 19 – 71 έτη (Πίνακας 2).
Η πλειοψηφία των δημοσιευμένων εργασιών περιλαμβάνει επίσης πληροφορίες σχετικά με τον σεξουαλικό προσανατολισμό των ασθενών6-14. Διαθέσιμα δεδομένα υπήρχαν για 112 από τους 166 ασθενείς, εκ των οποίων το 95% δήλωσε ότι ανήκει στην κατηγορία Men who have Sex with Men (MSM) (Πίνακας 3). Επιπλέον, 33 ασθενείς ήταν θετικοί για HIV λοίμωξη.
Συσχέτιση με ταξίδι στο εξωτερικό
Τα πρώτα περιστατικά tinea genitalis λόγω T. Mentagrophytes που καταγράφηκαν την περίοδο 2015 – 2017 είχαν συσχετιστεί με πρόσφατο ταξίδι (1-2 εβδομάδες πριν την έναρξη των συμπτωμάτων) των ασθενών στη νοτιοανατολική Ασία, όπου είχαν πραγματοποιηθεί σεξουαλικές επαφές, σε ορισμένες περιπτώσεις και με εκδιδόμενα άτομα. Το γεγονός αυτό οδήγησε τους συγγραφείς να αναφερθούν στο στέλεχος αυτό ως T. Mentagrophytes «Thai variant»3,4. Αντίθετα, από τους 166 ασθενείς που έχουν αναφερθεί στη βιβλιογραφία την τελευταίας εξαετία μόνο 21 ανέφεραν πρόσφατο ταξίδι σε χώρα διαφορετική από τη χώρα της διάγνωσης. Το γεγονός αυτό υποδηλώνει ότι ο συγκεκριμένος γενότυπος έχει πλέον ενδημική παρουσία και διασπορά σε αρκετές ευρωπαϊκές χώρες.
Διάγνωση
Για τη διάγνωση της λοίμωξης από το TMVII είναι απαραίτητη η λήψη καλλιέργειας από τις προσβεβλημένες περιοχές. Κατόπιν, η εφαρμογή PCR για την ανάλυση αλληλουχιών ITS είναι η μέθοδος εκλογής για τον καθορισμό του συγκεκριμένου υποτύπου. Ωστόσο, σύμφωνα με τη μελέτη των Kämmerer et al9 ο καθορισμός του υποτύπου μπορεί να υποστηριχτεί και από μορφολογικά χαρακτηριστικά της καλλιέργειας, όπως η ταχεία ανάπτυξη των αποικιών και η παρουσία μελάγχρωσης στο υπόστρωμα της καλλιέργειας.
Κλινική εικόνα
Κατανομή των βλαβών
Τα διαθέσιμα δεδομένα δείχνουν ότι η λοίμωξη από το TMVII μπορεί να αφορά μία μόνο ανατομική περιοχή, όπως παρατηρήθηκε στο 55% των ασθενών, ενώ στο υπόλοιπο 45% υπήρξε προσβολή σε πάνω από μία ανατομική περιοχή. Πιο συγκεκριμένα, η συχνότερη εντόπιση που καταγράφηκε είναι η γεννητική χώρα και το εφήβαιο (47%) και ακολουθούν το γένειο/πρόσωπο και οι γλουτοί. Η συγκεκριμένη κατανομή των βλαβών, σε συνδυασμό με τα δημογραφικά χαρακτηριστικά των ασθενών με λοίμωξη από TMVII οδήγησαν τους συγγραφείς στη διατύπωση της θεωρίας περί μετάδοσης του δερματόφυτου κατά τη σεξουαλική επαφή. Σε μικρότερο ποσοστό των ασθενών οι βλάβες μπορεί να επεκταθούν και σε άλλα σημεία του κορμού (tinea corporis) (Πίνακας 4).
Κλινική μορφολογία
Στη μελέτη των Kämmerer et al9 η οποία περιλαμβάνει 51 ασθενείς με λοίμωξη από TMVII που διαγνώσθηκαν τη περίοδο μεταξύ 2020 – 2024 περιγράφονται τρεις κύριοι τύποι κλινικών βλαβών:
1. Τυπική μορφολογία δερματοφυτίας: Ερυθρές κηλίδες ή πλάκες, συχνά με δακτυλιοειδές σχήμα, με επηρμένο και λεπιδώδες όριο. (Εικόνα 2)
ΕΙΚOΝΑ 2. Τυπικές βλάβες δερματοφυτίας στη γλουτιαία χώρα σε ασθενείς με λοίμωξη από TMVII.
2. Φλυκταινώδεις/διαπυημένες βλάβες: Θυλακικά φλυκταινίδια, μεμονωμένα ή πολλαπλά, συχνά σε έδαφος ερυθρής πλάκας και με εφελκίδες. Καταγράφονται κυρίως στην περιοχή του γενείου και μπορεί να παρερμηνευθούν ως μικροβιακή θυλακίτιδα. (Εικόνα 3)
ΕΙΚOΝΑ 3. Εκδήλωση λοίμωξης από TMVII με φλυκταινώδεις/διαπυημένες βλάβες στο γένειο ασθενών.
3. Εν τω βάθει βλάβες: Έντονα διηθημένες πλάκες ή οζίδια που υποδηλώνουν βαθύτερη φλεγμονή. (Εικόνα 4)
ΕΙΚOΝΑ 4. Έντονα διηθημένες πλάκες ως εκδήλωση εν τω βάθει λοίμωξης από TMVII.
Να σημειωθεί ότι σε αρκετούς ασθενείς συνυπάρχουν ταυτόχρονα περισσότερες από μία μορφολογία βλαβών (Εικόνα 5). Συχνά συνοδά συμπτώματα που αναφέρονται είναι ο πόνος και ο κνησμός.
ΕΙΚOΝΑ 5. Ασθενής με λοίμωξη TMVII στη γεννητική χώρα. Παρατηρούνται τυπικές βλάβες δερματοφυτίας (ερυθρά βέλη) ταυτόχρονα με φλυκταινίδια και οζίδια (μαύρα βέλη).
Θεραπεία
Τα διαθέσιμα δεδομένα δείχνουν ότι η συστηματική αντιμυκητιασική αγωγή είναι απαραίτητη για την αντιμετώπιση της λοίμωξης από το TMVII. Συνολικά 147 (89%) ασθενείς έλαβαν per os αντιμυκητιασική αγωγή είτε ως μονοθεραπεία είτε σε συνδυασμό με τοπική αγωγή. Μόνο 19 (11%) ασθενείς αντιμετωπίστηκαν αποκλειστικά με τοπική αγωγή (Πίνακας 5).
Η τερμπιναφίνη αποτέλεσε το συχνότερα χορηγούμενο φάρμακο, με χρήση σε 133 ασθενείς. Μέχρι σήμερα δεν έχουν καταγραφεί ιδιαίτερα ζητήματα ανθεκτικότητας του συγκεκριμένου γενότυπου, καθώς μόνο σε 5 περιπτώσεις κρίθηκε απαραίτητη η αλλαγή αγωγής σε ιτρακοναζόλη λόγω ανεπαρκούς ανταπόκρισης5,7,9,13,14, ενώ σε 3 ασθενείς η αλλαγή της συστηματικής αντιμυκητιασικής αγωγής πραγματοποιήθηκε λόγω ανεπιθύμητης ενέργειας του φαρμάκου9.
Επιπλέον, 9 ασθενείς έλαβαν ιτρακοναζόλη με καλά αποτελέσματα, ενώ σε 3 περιπτώσεις χρειάστηκε να πραγματοποιηθεί αλλαγή της αγωγής σε τερμπιναφίνη λόγω ανεπιθύμητης ενέργειας του φαρμάκου9. Η φλουκοναζόλη δε φαίνεται να έχει θέση στην αντιμετώπιση της λοίμωξης από TMVII, καθώς σε δύο ασθενείς που χορηγήθηκε, κρίθηκε αναγκαία η αλλαγή της αγωγής λόγω μειωμένης αποτελεσματικότητας5,9 (Πίνακας 6).
Η διάρκεια της συστηματικής θεραπείας κυμάνθηκε από 2 – 15 εβδομάδες. Οι συγγραφείς τονίζουν τη σημασία της παρακολούθησης των ασθενών μετά το τέλος της αγωγής, καθώς έχουν καταγραφεί περιστατικά υποτροπής.
BIBΛΙΟΓΡΑΦΙΑ
- Chamorro M, House SA, George B. Fungal Infections. Prim Care. 2025 Sep;52(3):487-498. doi: 10.1016/j.pop.2025.05.002. Epub 2025 Jul 7. PMID: 40835286.
- Barac A, Stjepanovic M, Krajisnik S et al. Dermatophytes: Update on Clinical Epidemiology and Treatment. Mycopathologia. 2024 Nov 21;189(6):101. doi: 10.1007/s11046-024-00909-3. PMID: 39567411.
- Luchsinger I, Bosshard PP, Kasper RS et al. Tinea genitalis: a new entity of sexually transmitted infection? Case series and review of the literature. Sex Transm Infect. 2015 Nov;91(7):493-6. doi: 10.1136/sextrans-2015-052036. Epub 2015 Jun 12. PMID: 26071391
- Wendrock-Shiga G, Mechtel D, Uhrlaß S, et al. Tinea barbae profunda due to Trichophyton mentagrophytes after journey to Thailand: Case report and review]. Hautarzt. 2017 Aug;68(8):639-648. German. doi: 10.1007/s00105-017-4008-2. PMID: 28616693.
- Kupsch C, Czaika VA, Deutsch C, et al. Trichophyton mentagrophytes – a new genotype of zoophilic dermatophyte causes sexually transmitted infections. J Dtsch Dermatol Ges. 2019 May;17(5):493-501. doi: 10.1111/ddg.13776. Epub 2019 Feb 18. PMID: 30775844.
- Jabet A, Dellière S, Seang S, et al. Sexually Transmitted Trichophyton mentagrophytes Genotype VII Infection among Men Who Have Sex with Men. Emerg Infect Dis. 2023 Jul;29(7):1411-1414. doi: 10.3201/eid2907.230025. PMID: 37347803
- Jabet A, Bérot V, Chiarabini T, et al. Trichophyton mentagrophytes ITS genotype VII infections among men who have sex with men in France: An ongoing phenomenon. J Eur Acad Dermatol Venereol. 2025 Feb;39(2):407-415. doi: 10.1111/jdv.20439. Epub 2024 Nov 26. Erratum in: J Eur Acad Dermatol Venereol. 2025 Jul;39(7):1353. doi: 10.1111/jdv.20775. PMID: 39587983
- Descalzo V, Martín MT, Álvarez-López P, et al. M. Trichophyton mentagrophytes Genotype VII and Sexually Transmitted Tinea: An Observational Study in Spain. Mycoses. 2025 Apr;68(4):e70049. doi: 10.1111/myc.70049. PMID: 40156344.
- Kämmerer K, Huynh J, Deutsch C, et al. Trichophyton mentagrophytes type VII: cohort study on patient characteristics, clinical features, disease course, and treatment. J Dtsch Dermatol Ges. 2025 Jul 31. doi: 10.1111/ddg.15837. Epub ahead of print. PMID: 40741713.
- Zucker J, Caplan AS, Gunaratne SH, et al. Notes from the Field: Trichophyton mentagrophytes Genotype VII – New York City, April-July 2024. MMWR Morb Mortal Wkly Rep. 2024 Oct 31;73(43):985-988. doi: 10.15585/mmwr.mm7343a5. PMID: 39480750
- Bortoluzzi P, Aromolo IF, Derlino F, et al. Tinea barbae caused by T. mentagrophytes genotype VII, an emerging sexually transmitted infection among Men who have Sex with Men: A report from Milan, Italy. J Eur Acad Dermatol Venereol. 2025 Feb;39(2):e187-e190. doi: 10.1111/jdv.20395. Epub 2024 Nov 26. PMID: 39587982.
- Abdolrasouli A, Curtis C, Macrae B, et al. Emerging Trichophyton mentagrophytes genotype VII in the United Kingdom. J Eur Acad Dermatol Venereol. 2025 Oct;39(10):e944-e946. doi: 10.1111/jdv.20803. Epub 2025 Jun 20. PMID: 40539718.
- Caplan AS, Zakhem GA, Pomeranz MK. Trichophyton mentagrophytes Internal Transcribed Spacer Genotype VIII. JAMA Dermatol. 2023 Oct 1;159(10):1130. doi: 10.1001/jamadermatol.2023.2645. PMID: 37418257.
- Kapranou R, Kotsafti O, Vrioni G, et al. Trichophyton mentagrophytes type VII (TMVII): an emerging sexually transmitted pathogen. QJM. 2025 May 1;118(5):376-377. doi: 10.1093/qjmed/hcaf049. PMID: 39951293.





